A fratura de metacarpo é uma lesão comum que atendo com frequência em minha prática clínica, principalmente entre pessoas ativas, trabalhadores manuais e praticantes de esportes de contato.
Os metacarpos são os ossos longos da mão que ligam o punho aos dedos, e qualquer fratura nessa região pode comprometer significativamente a função da mão, além de causar dor e limitar movimentos simples do dia a dia.
Com mais de 15 anos atuando como ortopedista especialista em mãos em Goiânia, irei compartilhar neste artigo os aspectos fundamentais das fraturas de metacarpo, desde os sintomas até o tratamento e recuperação.
Como ocorre a fratura de metacarpo
As causas mais comuns dessa fratura incluem quedas com impacto direto na mão, socos mal executados e acidentes de trabalho.
Esportes como boxe, artes marciais e futebol também aparecem com frequência nos relatos.
Dependendo da força e do ângulo do trauma, o osso pode se partir de diferentes formas: fraturas transversas, oblíquas, espiraladas ou cominutivas (quando o osso se fragmenta em várias partes).
Uma fratura pode afetar qualquer um dos cinco metacarpos, mas o do quinto dedo, conhecido como “dedo mínimo”, é o mais frequentemente acometido, especialmente em casos de impacto com o punho fechado.
Sintomas que merecem atenção
Os sintomas geralmente são bem evidentes, como:
- Dor intensa na mão;
- Inchaço visível;
- Dificuldade para movimentar os dedos.;
- Deformidade no local;
- Hematomas e sensibilidade ao toque.
Quando a fratura é mais sutil, como em casos de trincas ou fraturas estáveis, os sinais podem ser menos claros.
Por isso, qualquer dor persistente após um trauma direto na mão deve ser avaliada por um especialista.
Diagnóstico preciso é essencial
No consultório, a avaliação começa com uma boa conversa clínica, em que procuro entender como ocorreu o trauma.
Em seguida, faço o exame físico, observando sinais como sensibilidade localizada, amplitude de movimento e possíveis deformidades.
A confirmação vem com exames de imagem. O raio-X simples geralmente é suficiente, mas em alguns casos solicito uma tomografia computadorizada para entender melhor o padrão da fratura, especialmente quando há envolvimento articular ou múltiplos fragmentos.
Tratamento
O tratamento vai depender do tipo e da localização da fratura. Algumas fraturas são estáveis e podem ser tratadas de forma conservadora, com imobilização e repouso.
Nessas situações, a recomendação é o uso de talas ou gesso por um período de três a seis semanas, dependendo da resposta de cada paciente.
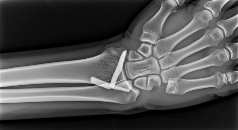
Já nos casos em que há desvio dos fragmentos, rotação dos dedos ou comprometimento da função da mão, é necessária intervenção cirúrgica.
Na cirurgia, são utilizadas técnicas como fixação com pinos, placas ou parafusos, sempre buscando restaurar a anatomia do osso e preservar ao máximo a mobilidade.
Reabilitação: parte chave do processo
Após a consolidação da fratura, inicia-se uma fase muito importante: a reabilitação.
A rigidez dos dedos é uma queixa comum entre os pacientes, principalmente quando a imobilização é prolongada. Por isso, o acompanhamento com fisioterapia especializada é fundamental.
Trabalhamos com exercícios progressivos de mobilidade, fortalecimento e coordenação, respeitando o tempo de recuperação de cada pessoa.
Complicações que devem ser evitadas
Algumas complicações podem surgir quando a fratura de metacarpo não é tratada corretamente. Entre as mais comuns estão:
- Pseudartrose: quando o osso não consolida.
- Calo ósseo exagerado: que pode atrapalhar a mobilidade.
- Perda de rotação digital: que afeta funções como segurar objetos.
- Dor crônica ou rigidez articular.
Por isso, reforço sempre a importância de procurar atendimento especializado logo após o trauma, mesmo que os sintomas pareçam leves.
Cuidados essenciais
Durante o acompanhamento, é importante estar atento a alguns pontos:
- Evitar apoiar peso sobre a mão lesionada enquanto estiver com a imobilização.
- Fazer movimentos suaves com os dedos não afetados, sempre que possível, para evitar rigidez.
- Manter o acompanhamento médico regular, para avaliar a evolução da fratura.
- Não retirar a imobilização por conta própria, mesmo que a dor diminua.
- Seguir corretamente o plano de fisioterapia após o período de imobilização.
Esses cuidados fazem toda a diferença no resultado final do tratamento.
Conclusão
Nem toda dor na mão após um trauma é apenas uma torção leve. Quando o paciente demora para buscar avaliação, o tempo de recuperação pode se estender ou a função da mão pode não voltar completamente ao normal.
Por isso, se houver suspeita de fratura de metacarpo, é fundamental procurar um ortopedista com experiência em lesões da mão.
Com um diagnóstico correto, tratamento adequado e um bom plano de reabilitação, a recuperação costuma ser muito satisfatória.
Imagens: Créditos Freepik
- Síndrome do Canal de Guyon: o que é e como tratar - setembro 28, 2025
- Lesão da placa volar: diagnóstico e tratamento - setembro 27, 2025
- Fratura de Bennett: sintomas, diagnóstico e tratamento - setembro 26, 2025



