
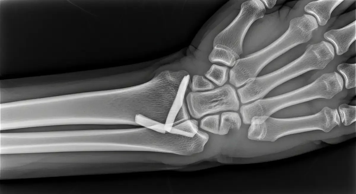
Como Saber Se Quebrei O Pulso? Sinais De Fratura
Após uma queda ou impacto direto na mão, surge uma dúvida comum no consultório: como saber se quebrei o pulso ou se foi apenas uma pancada? Essa diferenciação nem sempre é simples, já que fraturas, entorses e contusões podem causar sintomas...
Ler artigo completo →




